さくらの山歯科クリニックブログ
2025年10月28日 火曜日
驚くべき関連性!歯周病が引き起こす病気とは?
こんにちは。埼玉県鶴ヶ島市「鶴ヶ島駅」より徒歩8分にある歯医者「さくらの山歯科クリニック」です。

歯周病は、単に歯ぐきが腫れる病気だと思われがちですが、実は全身の健康にも深く関係している重大な疾患です。日本人の成人の約8割が歯周病にかかっているとされており、知らず知らずのうちに進行しているケースがあります。
近年の研究では、歯周病がさまざまな全身の病気を引き起こすリスクがあることが明らかになってきました。
今回は、歯周病が引き起こす具体的な疾患について詳しく解説します。歯周病を予防するために私たちが日常生活でできることも解説しますので、歯周病を予防したいとお考えの方は、ぜひ参考にしてください。
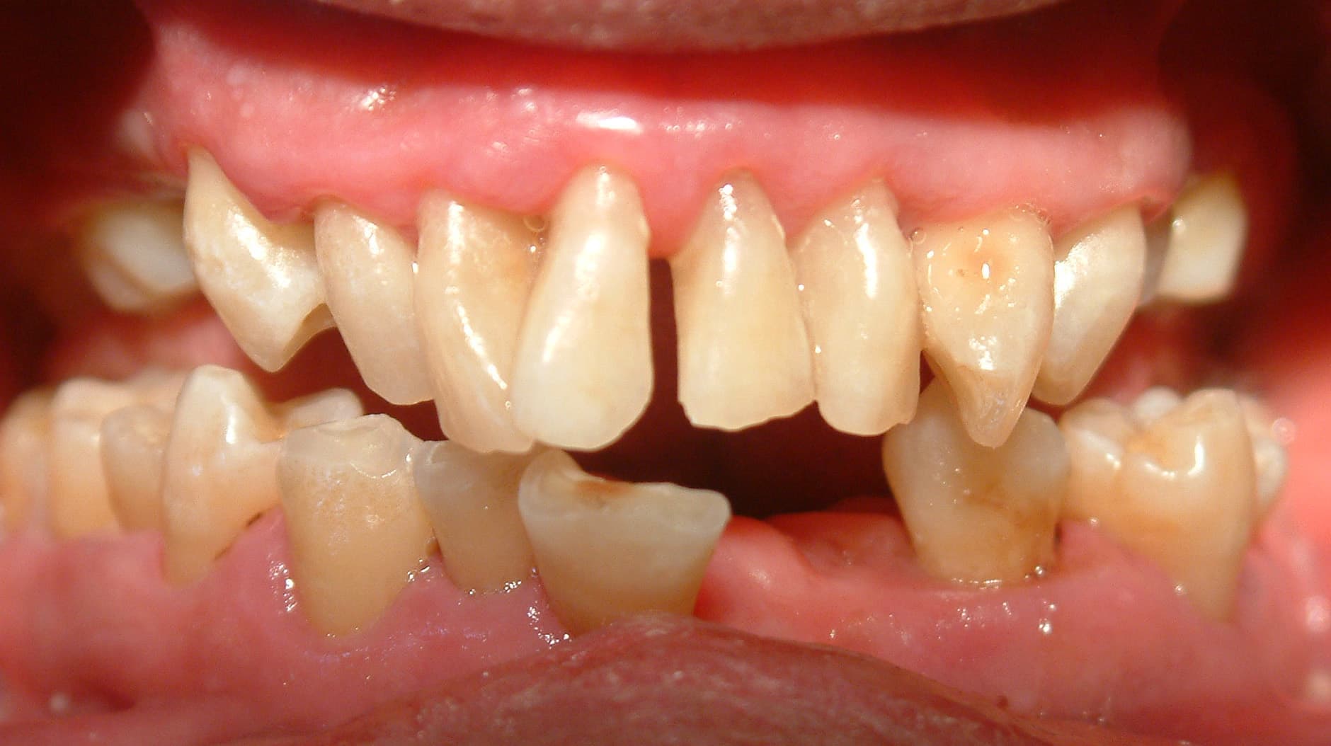
歯周病とは

歯周病とは、歯と歯ぐきの間に細菌が入り込み、歯ぐきに炎症を起こす病気です。
初期段階では歯肉炎と呼ばれ、歯ぐきの腫れや出血など軽度の症状が見られますが、進行すると歯周炎となり、歯を支えている骨(歯槽骨)が徐々に溶かされていきます。最終的には歯が抜け落ちる原因にもなりうる恐ろしい疾患です。
日本では成人の約8割が歯周病にかかっているとされ、国民病ともいえるほど身近な病気です。
しかし、進行がゆっくりで痛みを伴わないことが多いため、自覚症状がないまま重症化してしまうケースも珍しくありません。
さらに近年では、歯周病が全身の健康にも悪影響を及ぼすことが明らかになっており、単なる口のトラブルとして片付けることはできなくなっています。歯周病の予防・治療は、単に歯を守るだけでなく、体全体の健康を守るためにも非常に重要です。
歯周病が引き起こす病気

ここからは、歯周病がどのような全身の病気を引き起こす可能性があるのかを具体的に見ていきましょう。
心筋梗塞・脳梗塞
歯周病菌は歯ぐきの毛細血管から血流に乗って全身に広がることがあります。その結果、動脈硬化が進行し、血管の内側にプラーク(粥状の沈着物)が蓄積され、血流を妨げるようになります。
これが心筋梗塞や脳梗塞といった命に関わる疾患のリスクを高める要因とされています。
特に歯周病によって発生する炎症性物質は、血管内皮細胞にダメージを与え、動脈硬化を進行させやすくすると考えられています。実際に、歯周病を持つ人は心疾患を引き起こすリスクが2倍以上に上昇するという研究結果もあります。
糖尿病
歯周病と糖尿病は、相互に悪影響を及ぼす関係にあることが知られています。糖尿病の患者さんは高血糖の状態が続くことで免疫力が低下し、感染症にかかりやすくなります。これにより、歯周病が進行しやすくなるのです。
一方、歯周病による炎症は、血糖値のコントロールをさらに悪化させることがわかっています。炎症性サイトカインという物質が血糖値を上げるインスリンの働きを阻害するため、糖尿病の悪化につながります。
歯周病を治療することによって血糖値が改善するという報告もあり、糖尿病の管理には口腔ケアが欠かせない存在となっています。
認知症
歯周病と認知症が関係していると言われても、少し意外に感じるかもしれません。
しかし、最近の研究では、歯周病が脳に影響を与える可能性があることがわかってきています。たとえば、歯周病菌が血液を通じて脳に入り込み、炎症を引き起こすと、アルツハイマー型認知症を引き起こす可能性があるのです。
また、歯を失うことで咀嚼(そしゃく)機能が低下し、脳への刺激が少なくなると、認知機能が衰えやすくなるともいわれています。実際に、歯の本数が少ない人ほど認知症のリスクが高いというデータもあります。
だからこそ、日ごろから歯周病を予防し、できるだけ多くの歯を健康に保つことが、認知症の予防にもつながるのです。
早産・低体重児出産
妊娠中の方が歯周病にかかると、早産や低体重児出産のリスクが高まることが報告されています。これは歯周病による炎症性物質が血液を通じて胎盤に達し、子宮の収縮を促すことが原因と考えられています。
また、妊娠中はホルモンバランスの変化によって歯ぐきが腫れやすく、歯周病にかかりやすい時期でもあります。そのため、妊娠がわかった段階で歯科検診を受けることが重要なのです。
呼吸器疾患(誤嚥性肺炎など)
歯周病が進行すると、誤嚥性肺炎(ごえんせいはいえん)を引き起こすリスクも高まります。これは、食べ物や唾液が誤って気管に入り、そこに含まれていた細菌が肺で炎症を起こすことで発症します。
歯周病が進行すると、口の中の細菌の数が増えます。その状態で唾液や食べ物が気道に入ると、細菌まで一緒に肺へ入り込み、肺炎を引き起こすリスクが高まるのです。
特に、飲み込む力が弱くなる高齢者や、寝たきりでうまく口腔ケアができない人は、このリスクが高まります。
だからこそ、毎日の歯みがきだけでなく、介護が必要な方の場合はプロによる口腔ケアを定期的に受けることが非常に重要なのです。
歯周病を予防するためには

ここからは、歯周病を未然に防ぐために実践できる方法を具体的にご紹介します。
しっかり歯磨きをする
歯周病予防の基本は、やはり毎日の歯磨きです。特に、歯と歯ぐきの境目を意識して丁寧にブラッシングしましょう。また、歯ブラシは毛先の柔らかいものを選び、力を入れすぎずに優しく磨くことがポイントです。
また、デンタルフロスや歯間ブラシなどの補助的な清掃用具を活用することで、歯ブラシだけでは取りきれない汚れも除去できます。朝と夜の2回以上、時間をかけて丁寧に磨く習慣をつけましょう。
定期的に歯科検診を受ける
歯周病は自覚症状がないまま進行することが多いため、定期的に歯科医院で検診を受けることが欠かせません。これによって、歯周病の早期発見・早期治療につながります。
定期検診では、歯石の除去や歯周ポケットの深さのチェック、ブラッシング指導などが行われます。万が一、歯周病の兆候がみられても、定期的に歯科医院で検診を受けていれば、重症化する前に対処できるでしょう。
一般的には、3ヶ月~6ヶ月に1回の頻度で歯科医院を受診することが推奨されます。
禁煙する
喫煙は歯周病の大きなリスク要因の一つです。
タバコに含まれる有害物質は、歯ぐきの血流を悪化させ、免疫機能を低下させるため、細菌への抵抗力が弱まり、歯周病が進行しやすくなります。また、喫煙者は歯ぐきの炎症や出血などの自覚症状が現れにくいため、気づかないうちに重症化することも少なくありません。
さらに、喫煙者は非喫煙者に比べて、歯周病治療の効果が出にくいというデータもあります。禁煙によって歯ぐきの血流が改善され、口腔内の自然治癒力も高まるため、治療の成功率が向上します。
全身の健康を守るため、また口腔環境を良好に保つためにも、禁煙は非常に重要なのです。
ストレスを管理する
ストレスが歯周病の原因になるとは意外に思われるかもしれませんが、実は心と体の健康は密接につながっています。
強いストレスを感じると、自律神経やホルモンのバランスが乱れ、免疫力が低下します。その結果、歯周病菌に対する抵抗力が弱まり、炎症が起こりやすくなるのです。
また、ストレスがたまると、無意識のうちに歯ぎしりや食いしばりをすることもあります。これらの習慣は歯や歯ぐきに過度な負担をかけ、歯周組織のダメージを助長することにつながります。
歯周病予防のためには、適度な運動、十分な睡眠、リラックスできる時間を意識的に持つことが重要です。メンタルケアを生活習慣の一部として取り入れることが、口腔の健康にも良い影響を与えます。
まとめ

歯周病は、単に歯ぐきが腫れる病気ではなく、心臓病や糖尿病、認知症、呼吸器疾患、さらには妊娠中の早産など、全身の健康に深く関わっていることがわかってきました。
気づかないうちに進行することも多く、たかが歯ぐきの問題と油断していると、思わぬ病気を引き起こすこともあります。
だからこそ、毎日の歯みがきや生活習慣の見直し、そして定期的な歯科検診がとても大切です。歯周病の予防は、自分の健康を守るだけでなく、家族や大切な人との日々をより安心して過ごすための土台になります。
口の中の健康は、全身の健康につながっています。この機会に、ぜひご自身のケアを見直して、今日からできることを始めてみてはいかがでしょうか。
歯周病の症状にお悩みの方は、埼玉県鶴ヶ島市「鶴ヶ島駅」より徒歩8分にある歯医者「さくらの山歯科クリニック」にお気軽にご相談ください。
当院は、お子さまからお年寄りまで安心して通える、優しくてアットホームな歯医者さんを目指しています。虫歯治療や歯周病治療だけでなく、お子さまの治療や審美歯科にも力を入れています。
当院のホームページはこちら、ぜひご覧ください。
投稿者
カテゴリ一覧
- さくらの山歯科クリニックブログ (414)
- 料金表 (1)
- 未分類 (24)
- 求人情報 (3)
最近のブログ記事
月別アーカイブ
- 2026年1月 (4)
- 2025年12月 (4)
- 2025年11月 (4)
- 2025年10月 (4)
- 2025年9月 (5)
- 2025年8月 (4)
- 2025年7月 (4)
- 2025年6月 (4)
- 2025年5月 (4)
- 2025年4月 (4)
- 2025年3月 (4)
- 2025年2月 (4)
- 2025年1月 (4)
- 2024年11月 (2)
- 2024年10月 (2)
- 2024年9月 (2)
- 2024年8月 (1)
- 2024年7月 (1)
- 2024年6月 (1)
- 2024年5月 (1)
- 2024年4月 (1)
- 2024年3月 (1)
- 2024年2月 (1)
- 2024年1月 (1)
- 2023年12月 (1)
- 2023年11月 (1)
- 2023年10月 (1)
- 2023年9月 (1)
- 2023年8月 (1)
- 2023年7月 (1)
- 2023年6月 (1)
- 2023年4月 (1)
- 2023年3月 (1)
- 2022年12月 (1)
- 2022年10月 (1)
- 2022年9月 (1)
- 2022年8月 (2)
- 2022年7月 (1)
- 2022年6月 (2)
- 2022年5月 (2)
- 2022年4月 (2)
- 2022年3月 (2)
- 2022年2月 (2)
- 2022年1月 (2)
- 2021年12月 (3)
- 2021年11月 (2)
- 2021年10月 (2)
- 2021年9月 (2)
- 2021年8月 (3)
- 2021年7月 (2)
- 2021年6月 (2)
- 2021年5月 (2)
- 2021年4月 (2)
- 2021年3月 (2)
- 2021年2月 (2)
- 2021年1月 (2)
- 2020年12月 (2)
- 2020年11月 (2)
- 2020年10月 (1)
- 2020年9月 (2)
- 2020年8月 (3)
- 2020年7月 (2)
- 2020年6月 (4)
- 2020年5月 (5)
- 2020年4月 (3)
- 2020年3月 (5)
- 2020年2月 (4)
- 2020年1月 (1)
- 2019年12月 (4)
- 2019年11月 (2)
- 2019年10月 (2)
- 2019年9月 (3)
- 2019年8月 (3)
- 2019年7月 (3)
- 2019年6月 (1)
- 2019年4月 (2)
- 2019年3月 (3)
- 2019年1月 (4)
- 2018年12月 (3)
- 2018年11月 (4)
- 2018年10月 (4)
- 2018年9月 (3)
- 2018年8月 (3)
- 2018年7月 (5)
- 2018年6月 (3)
- 2018年5月 (5)
- 2018年4月 (4)
- 2018年3月 (4)
- 2018年2月 (4)
- 2018年1月 (4)
- 2017年12月 (6)
- 2017年11月 (4)
- 2017年10月 (5)
- 2017年9月 (4)
- 2017年8月 (4)
- 2017年7月 (5)
- 2017年6月 (4)
- 2017年5月 (4)
- 2017年4月 (5)
- 2017年3月 (4)
- 2017年2月 (4)
- 2017年1月 (3)
- 2016年12月 (4)
- 2016年11月 (4)
- 2016年10月 (4)
- 2016年9月 (5)
- 2016年8月 (4)
- 2016年7月 (3)
- 2016年6月 (3)
- 2016年5月 (5)
- 2016年4月 (3)
- 2016年3月 (4)
- 2016年2月 (3)
- 2016年1月 (4)
- 2015年12月 (5)
- 2015年11月 (5)
- 2015年10月 (4)
- 2015年9月 (4)
- 2015年8月 (4)
- 2015年7月 (3)
- 2015年6月 (3)
- 2015年5月 (3)
- 2015年4月 (2)
- 2015年3月 (2)
- 2015年2月 (4)
- 2015年1月 (4)
- 2014年12月 (4)
- 2014年11月 (3)
- 2014年10月 (4)
- 2014年9月 (3)
- 2014年8月 (3)
- 2014年7月 (3)
- 2014年6月 (4)
- 2014年5月 (4)
- 2014年4月 (3)
- 2014年3月 (4)
- 2014年2月 (5)
- 2014年1月 (4)
- 2013年12月 (2)