さくらの山歯科クリニックブログ
2025年12月23日 火曜日
歯ぎしりで歯周病が悪化する?その理由と対策を解説
こんにちは。埼玉県鶴ヶ島市「鶴ヶ島駅」より徒歩8分にある歯医者「さくらの山歯科クリニック」です。

歯周病と歯ぎしりは、一見すると別々の問題のように思えますが、実は密接に関係しています。
多くの人が、歯ぎしりを単なる癖やストレスのあらわれと捉えがちですが、放置していると歯や歯周組織に大きなダメージを与える可能性があります。特に、歯周病を患っている方にとっては、歯ぎしりが病状を悪化させるリスクを高める要因となることがわかっています。
今回は、それぞれの基本的な知識から、両者の関係性、さらに日常生活でできる対策までをわかりやすくご紹介します。とくに、ふだん自分では気づきにくい歯ぎしりが、どのように歯や歯ぐきに影響を与えるのかを知ることは、将来の歯の健康を守るうえでとても大切です。
歯周病とは

歯周病とは、歯を支えている骨(歯槽骨)や歯ぐき(歯肉)などの歯周組織が炎症を起こし、次第に破壊される慢性疾患です。初期段階では歯肉炎と呼ばれ、歯ぐきの腫れや出血といった症状が見られますが、痛みがほとんどないため、多くの場合、自覚されにくいのが特徴です。
そのまま放置すると、炎症が歯槽骨にまで及び、歯周炎へと進行します。進行すると歯がグラつき、最終的には歯の脱落に至るケースもあります。
主な原因は、プラーク(歯垢)と呼ばれる細菌の塊です。歯みがきが不十分であったり、歯並びの影響で清掃が難しい部位があったりすると、プラークが溜まりやすくなり、歯周ポケットで細菌が繁殖します。
また、喫煙やストレス、糖尿病などの全身的な要因も、歯周病のリスクを高める因子として知られています。
歯ぎしりとは

歯ぎしりとは、上下の歯を無意識のうちに強くこすり合わせたり、噛みしめたりするクセのことをいいます。
多くは眠っているあいだに起こるため、自分では気づきにくいのが特徴です。たとえば、朝起きたときにあごが重たく感じたり、歯の表面がすり減っていたり、家族から「寝ているときにギリギリ音がしていた」と言われたことがある方は、歯ぎしりをしている可能性があります。
一見、歯ぎしりはそれほど深刻ではないように思われがちですが、実は歯や歯ぐき、あごの関節に大きな負担をかけています。特に、歯周病が進行している状態で歯ぎしりが加わると、症状がさらに悪化するリスクが高まります。
また、治療中であっても、歯ぎしりの影響で治療の効果が十分に得られないこともあります。
このように、歯ぎしりは歯や口の健康に大きく関わる習慣であり、早めの対策が重要です。
歯ぎしりの種類
歯ぎしりにはいくつかの種類があり、それぞれ歯や歯周組織に与える影響が異なります。以下に代表的な3種類をご紹介します。
グラインディング
グラインディングは、上下の歯を強くこすり合わせるように動かすタイプの歯ぎしりです。寝ている間にギリギリといった音が出るため、周囲から指摘されて気づくこともあります。
歯の表面が少しずつ削られて平らになり、噛み合わせのバランスが乱れる原因にもなります。また、強い摩擦が続くことで、歯を支える骨や歯ぐきに大きな負担がかかり、歯周病が進行しやすい状態を招くことがあります。
クレンチング
クレンチングは、上下の歯を強く噛みしめるタイプの歯ぎしりです。音が出にくいため周囲にも気づかれにくく、日中の作業中や緊張しているときなどにも起こることがあります。
長時間にわたって強い力がかかると、歯がすり減ったり、被せ物がゆるんだりすることがあります。また、歯ぐきや歯の根元にも負荷がかかるため、歯周組織の炎症や悪化を引き起こすリスクがあります。
タッピング
タッピングは、上下の歯を小刻みにカチカチと打ち合わせるタイプの歯ぎしりです。ほかのタイプに比べて見られる頻度は低めですが、繰り返される動きによって歯や顎関節に振動が伝わり、負担が蓄積することがあります。
特に、被せ物や詰め物が不安定になったり、歯に細かいヒビが入ったりすることもあります。歯ぐきにも間接的な影響が出ることがあるため、注意が必要です。
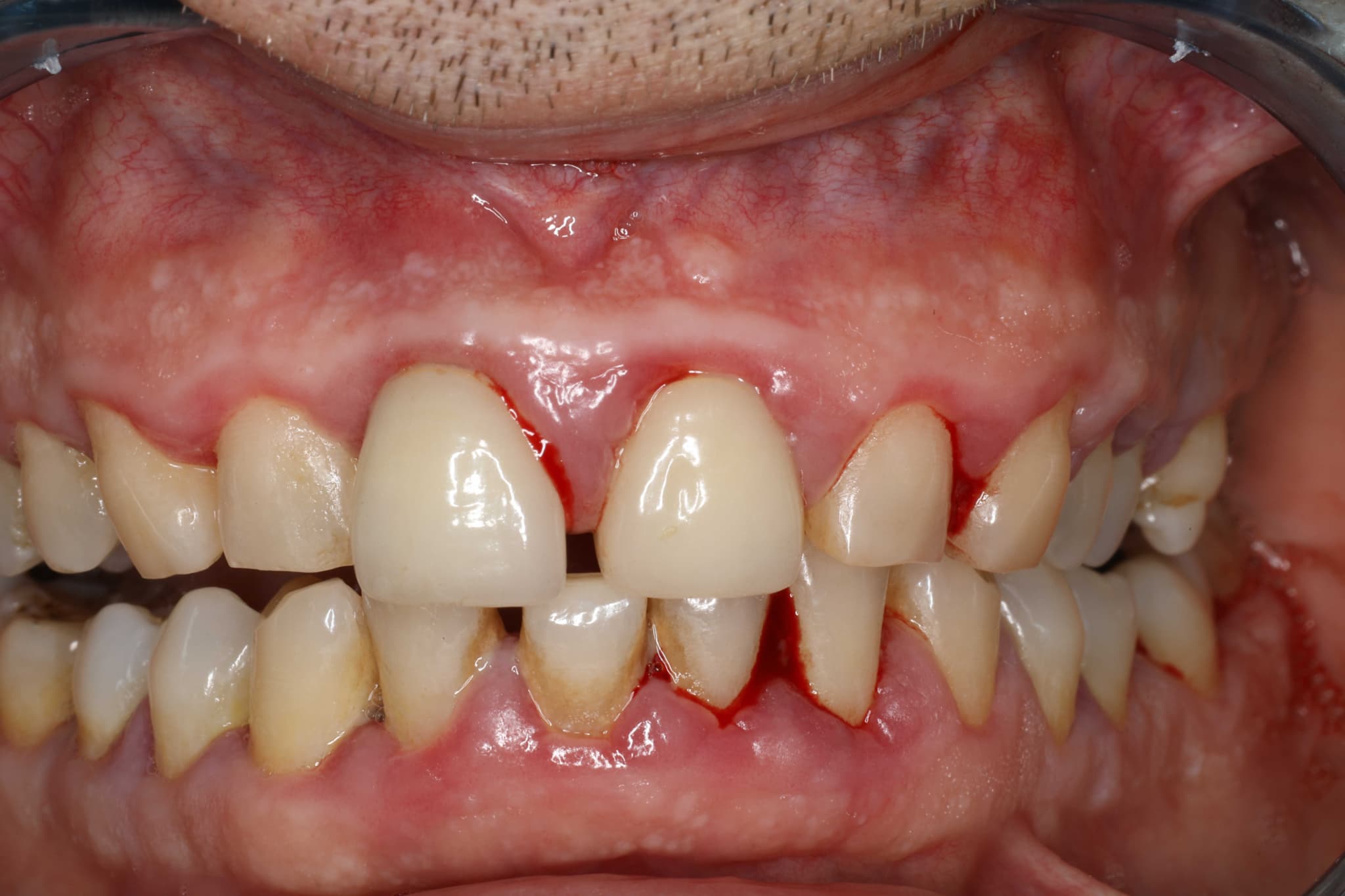
歯ぎしりがあると歯周病が悪化する?

歯ぎしりが歯周病にどのような影響を与えるのかについて見ていきましょう。
歯ぎしりが続くと、歯には通常よりも大きな力がかかります。この強い力は、歯を支えている骨や歯ぐきにダメージを与える原因になります。健康な歯ぐきであればある程度は耐えられますが、すでに歯周病によって炎症が起こっている場合、その負担が大きな悪影響となりやすいのです。
特に、グラインディングやクレンチングのように力が継続的にかかるタイプの歯ぎしりは、歯を支える骨の吸収を早める可能性があります。その結果、歯のぐらつきが強くなったり、歯ぐきの状態がさらに悪化したりすることがあるのです。
歯ぎしりは歯周病の直接的な原因ではありませんが、すでにある炎症や骨の損失を加速させる因子として見逃せない存在です。歯周病の進行を抑えるためには、歯ぎしりへの対策も一緒に考えることが大切です。
歯ぎしりがあると歯周病治療の効果が下がる?

歯周病の治療では、歯ぐきの炎症を抑えるために、歯石の除去や歯周ポケットの清掃、必要に応じた外科的な処置が行われます。
しかし、歯ぎしりによって歯や歯ぐきに強い力がかかり続けると、治療によって整えられた状態が安定しにくくなります。たとえば、歯がぐらついたまま治りにくくなったり、歯周ポケットが再び深くなったりするケースも見られます。
さらに、歯ぎしりの力は、歯ぐきの回復を妨げるだけでなく、歯を支える骨の再生も難しくする要因になります。そのため、治療の成果が十分に発揮されないこともあります。
歯周病の改善を目指すうえでは、歯ぎしりに対するアプローチも同時に行うことが大切です。ナイトガードの使用や生活習慣の見直しなどによって、歯ぐきにかかる負担を減らすことで、治療の効果を高めることが期待できます。
歯ぎしりの癖があるときの対策

では、歯ぎしりの癖があるときにはどうすればよいのでしょうか。以下に効果的な対策をご紹介します。
ナイトガードの装着
ナイトガードは、就寝時に歯に装着するマウスピース型の装置です。上下の歯が直接触れ合わないように保護することで、歯へのダメージやあごへの負担をやわらげる役割があります。
歯ぎしりによる歯のすり減りや歯周組織への負担を軽減する手段として、もっとも一般的で信頼性の高い方法です。
規則正しい生活習慣
生活リズムが乱れると、心身にストレスがたまりやすくなり、それが歯ぎしりの原因になることがあります。十分な睡眠、バランスのとれた食事、適度な運動を意識することで、身体の緊張がゆるみ、歯ぎしりのリスクを下げることができます。
毎日決まった時間に寝起きする、スマートフォンやテレビの見すぎを避けるなど、生活習慣を少しずつ整えることが大切です。
ストレスのコントロール
歯ぎしりの原因としてもっとも多いのがストレスです。仕事や人間関係など、日常のなかで感じる緊張や不安が、無意識のうちに身体の動きにあらわれることがあります。
深呼吸、ストレッチ、趣味の時間を持つなど、自分なりのリラックス方法を見つけることが大切です。ストレスを完全になくすことは難しくても、うまく付き合う工夫が歯ぎしりの予防につながります。
噛み合わせの調整
歯の噛み合わせにずれがあると、あごや筋肉に余分な力がかかり、それが歯ぎしりのきっかけになることがあります。
詰め物や被せ物が高すぎたり、歯並びにズレがあったりする場合は、歯科医院で調整することで症状が落ち着くことがあります。必要に応じて矯正治療を検討することも、長期的な改善につながります。
口周りの筋肉のトレーニング
口のまわりやあごの筋肉が緊張していると、無意識に歯ぎしりが起こりやすくなります。
簡単なトレーニングを日常に取り入れることで、筋肉の柔軟性が高まり、あごの負担を減らすことができます。たとえば、口を大きく開けてゆっくり閉じる運動や、あごを左右に動かすストレッチなどがあります。継続することで筋肉の緊張がほぐれ、歯ぎしりの予防に役立ちます。
まとめ

歯周病と歯ぎしりは、それぞれ異なる問題のように見えて、実際には深く関わり合っています。
歯ぎしりによって歯や歯ぐきに強い負担がかかると、歯周病が進行しやすくなったり、治療の効果が現れにくくなったりすることがあります。そのため、歯周病の予防や改善を考える際には、歯ぎしりへの対策も同時に行うことが大切です。
ナイトガードの装着、生活習慣の見直し、ストレスへの向き合い方など、日常のなかで取り入れられる対策はたくさんあります。歯ぎしりは自覚が難しい習慣ですが、気づいたときから対策を始めることで、歯と歯ぐきを守ることにつながります。
歯周病の症状にお悩みの方は、埼玉県鶴ヶ島市「鶴ヶ島駅」より徒歩8分にある歯医者「さくらの山歯科クリニック」にお気軽にご相談ください。
当院は、お子さまからお年寄りまで安心して通える、優しくてアットホームな歯医者さんを目指しています。虫歯治療や歯周病治療だけでなく、お子さまの治療や審美歯科にも力を入れています。
当院のホームページはこちら、ぜひご覧ください。
投稿者
カテゴリ一覧
- さくらの山歯科クリニックブログ (414)
- 料金表 (1)
- 未分類 (24)
- 求人情報 (3)
最近のブログ記事
月別アーカイブ
- 2026年1月 (4)
- 2025年12月 (4)
- 2025年11月 (4)
- 2025年10月 (4)
- 2025年9月 (5)
- 2025年8月 (4)
- 2025年7月 (4)
- 2025年6月 (4)
- 2025年5月 (4)
- 2025年4月 (4)
- 2025年3月 (4)
- 2025年2月 (4)
- 2025年1月 (4)
- 2024年11月 (2)
- 2024年10月 (2)
- 2024年9月 (2)
- 2024年8月 (1)
- 2024年7月 (1)
- 2024年6月 (1)
- 2024年5月 (1)
- 2024年4月 (1)
- 2024年3月 (1)
- 2024年2月 (1)
- 2024年1月 (1)
- 2023年12月 (1)
- 2023年11月 (1)
- 2023年10月 (1)
- 2023年9月 (1)
- 2023年8月 (1)
- 2023年7月 (1)
- 2023年6月 (1)
- 2023年4月 (1)
- 2023年3月 (1)
- 2022年12月 (1)
- 2022年10月 (1)
- 2022年9月 (1)
- 2022年8月 (2)
- 2022年7月 (1)
- 2022年6月 (2)
- 2022年5月 (2)
- 2022年4月 (2)
- 2022年3月 (2)
- 2022年2月 (2)
- 2022年1月 (2)
- 2021年12月 (3)
- 2021年11月 (2)
- 2021年10月 (2)
- 2021年9月 (2)
- 2021年8月 (3)
- 2021年7月 (2)
- 2021年6月 (2)
- 2021年5月 (2)
- 2021年4月 (2)
- 2021年3月 (2)
- 2021年2月 (2)
- 2021年1月 (2)
- 2020年12月 (2)
- 2020年11月 (2)
- 2020年10月 (1)
- 2020年9月 (2)
- 2020年8月 (3)
- 2020年7月 (2)
- 2020年6月 (4)
- 2020年5月 (5)
- 2020年4月 (3)
- 2020年3月 (5)
- 2020年2月 (4)
- 2020年1月 (1)
- 2019年12月 (4)
- 2019年11月 (2)
- 2019年10月 (2)
- 2019年9月 (3)
- 2019年8月 (3)
- 2019年7月 (3)
- 2019年6月 (1)
- 2019年4月 (2)
- 2019年3月 (3)
- 2019年1月 (4)
- 2018年12月 (3)
- 2018年11月 (4)
- 2018年10月 (4)
- 2018年9月 (3)
- 2018年8月 (3)
- 2018年7月 (5)
- 2018年6月 (3)
- 2018年5月 (5)
- 2018年4月 (4)
- 2018年3月 (4)
- 2018年2月 (4)
- 2018年1月 (4)
- 2017年12月 (6)
- 2017年11月 (4)
- 2017年10月 (5)
- 2017年9月 (4)
- 2017年8月 (4)
- 2017年7月 (5)
- 2017年6月 (4)
- 2017年5月 (4)
- 2017年4月 (5)
- 2017年3月 (4)
- 2017年2月 (4)
- 2017年1月 (3)
- 2016年12月 (4)
- 2016年11月 (4)
- 2016年10月 (4)
- 2016年9月 (5)
- 2016年8月 (4)
- 2016年7月 (3)
- 2016年6月 (3)
- 2016年5月 (5)
- 2016年4月 (3)
- 2016年3月 (4)
- 2016年2月 (3)
- 2016年1月 (4)
- 2015年12月 (5)
- 2015年11月 (5)
- 2015年10月 (4)
- 2015年9月 (4)
- 2015年8月 (4)
- 2015年7月 (3)
- 2015年6月 (3)
- 2015年5月 (3)
- 2015年4月 (2)
- 2015年3月 (2)
- 2015年2月 (4)
- 2015年1月 (4)
- 2014年12月 (4)
- 2014年11月 (3)
- 2014年10月 (4)
- 2014年9月 (3)
- 2014年8月 (3)
- 2014年7月 (3)
- 2014年6月 (4)
- 2014年5月 (4)
- 2014年4月 (3)
- 2014年3月 (4)
- 2014年2月 (5)
- 2014年1月 (4)
- 2013年12月 (2)